Диагностический медицинский центр ультразвуковой диагностики (УЗИ) в Оше
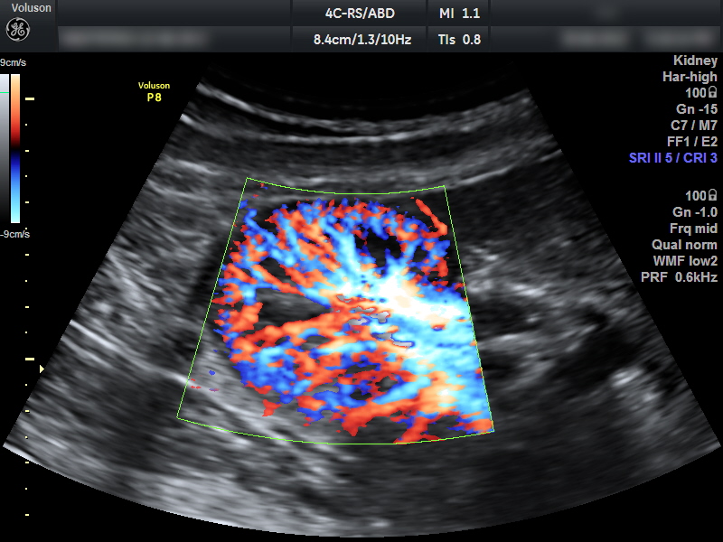
Допплерография сосудов почек
- Просмотров: 1012
Ультразвуковая допплерография почечных артерий (УЗДГ) – метод обследования кровеносных сосудов и особенностей их функционирования: диаметра, строения, скорости кровотока. Изменение скорости или направления крови возможно из-за спазма сосуда, тромбоза, атеросклеротических бляшек, потери тонуса и эластичности стенки.
За сутки почки фильтруют 1700-2000 литров крови, поэтому важно своевременно выявлять сосудистые нарушения.
Что определяют с помощью УЗДГ почечных сосудов:
Нарушения кровоснабжения почек из-за тромбоза, атеросклеротических бляшек, стеноза и других причин.
Воспалительные или другие патологии почки.
Локализация и особенности новообразований.
Дифференцировка состояния при изменении размеров почек.

Когда врач может назначить допплерографию сосудов почек. Показания:
- Боль и дискомфорт в пояснице, включая острую при почечных коликах.
- Отечность ног и лица.
- Подозрение на пузырно-мочеточниковый рефлюкс – обратный отток мочи в почку.
- Травмы живота и поясницы, способные повредить сосуды.
- Появление белка в моче и увеличение лейкоцитов.
- Подозрение на новообразования в почках.
- Гипертония с невыясненной причиной.
- Эндокринные нарушения (сахарный диабет и др.).
- Сердечно-сосудистые заболевания.
- Подготовка к операциям на почках и трансплантация.
Допплерография почечных сосудов может проводиться неоднократно, что позволяет оценить динамику изменений и эффективность терапии.
Как проходит допплерография
Для качественного сканирования почек и сосудов пациент должен соблюдать диету 2-3 дня до процедуры. Из рациона исключаются продукты, повышающие газообразование (сырые фрукты, овощи, бобовые, черный хлеб, молочные продукты). Врач может порекомендовать прием энтеросорбентов. УЗИ нельзя проводить после процедур, при которых в пищеварительный тракт попадал воздух (фиброгастроскопия, колоноскопия).
Процедура проводится натощак, безболезненна и занимает не более 30 минут. Результаты анализирует лечащий врач, дополняя их данными других обследований (например, УЗИ мочевого пузыря).



